Real Results
Real stories from real patients. Browse our case studies to see how we have transformed smiles and restored confidence.
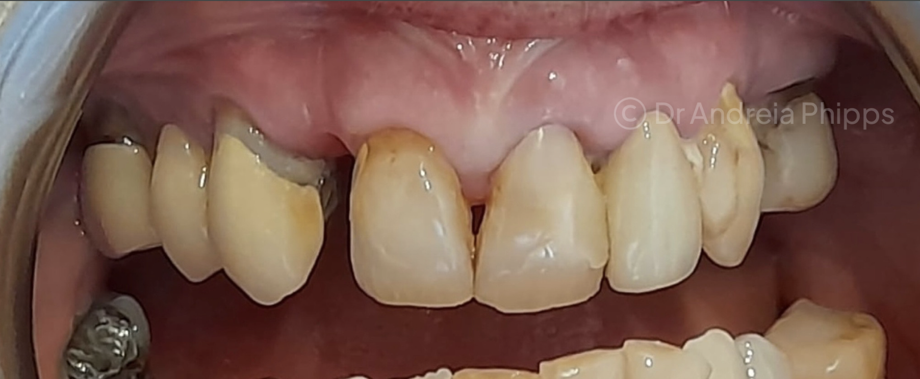
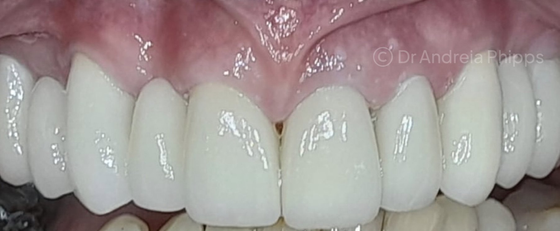
Restoring a Chipped Front Tooth


*Actual patient results. Individual results may vary.
Patient Concern
A patient attended our clinic for an emergency appointment after chipping her upper left front tooth. Fortunately, the tooth was not painful or sensitive, but the chip significantly affected the appearance of her smile.
Assessment & Diagnosis
To ensure the tooth was healthy, we carried out a vitality test by applying a small amount of cold to the tooth. The tooth responded normally, confirming that the nerve was healthy. No signs of infection or further structural damage were present, making the case ideal for a minimally invasive aesthetic restoration.
Treatment Plan
- We selected the shade with the patient’s involvement to ensure the most natural result.
- The tooth was prepared using a gentle, minimally invasive technique.
- High-quality composite material was layered to rebuild the missing portion of the tooth.
- The bite was carefully checked and adjusted.
- The restoration was polished to blend seamlessly with the natural enamel.
The Result
"The patient was delighted with the immediate improvement in her smile. She was so pleased with the result that she returned a few days later to have matching bonding completed on her upper right front tooth as well."
Transforming Discoloured & Chipped Teeth


*Actual patient results. Individual results may vary.
Patient Concern
The patient attended a consultation unhappy with the appearance of her upper front teeth. Her upper right central incisor (UR1) was noticeably discoloured, and both central incisors had small chips affecting the overall aesthetics of her smile. She explained that she had fallen on her teeth when she was younger, which pushed the UR1 slightly backwards. Over time, the tooth became non-vital and eventually required root canal treatment. Although the tooth was symptomless, it still appeared darker than the neighbouring teeth.
Assessment & Diagnosis
A full clinical examination was carried out. UR1 had previously undergone successful root canal treatment. Both central incisors showed minor chipping. No sensitivity or pain was present. The patient’s main concern was the colour mismatch and visible wear to the edges of the teeth.
Treatment Plan
- Shade selection was carried out with the patient to achieve the most natural match.
- Both incisors were gently prepared for bonding using a conservative approach.
- High-quality composite material was sculpted to rebuild the chipped areas and mask the discolouration of UR1.
- The bite was checked and adjusted as needed.
- Final polishing created a smooth, natural shine and seamless blend with the surrounding enamel.
The Result
"The bonding restored the shape, symmetry, and colour of both front teeth, achieving a brighter and more harmonious smile. The patient was extremely happy with the final outcome."
Brightening a Smile with Home Whitening


*Actual patient results. Individual results may vary.
Patient Concern
The patient attended a consultation because he was unhappy with the yellowish appearance of his teeth. He also had several existing fillings between his lower teeth, which were more noticeable due to the colour of the surrounding enamel.
Assessment & Diagnosis
During the consultation, we assessed the condition of his natural teeth and the existing restorations. We discussed suitable options to safely and effectively brighten his smile. Professional home whitening was recommended to achieve a lighter, fresher overall appearance.
Treatment Plan
- Impressions were taken to create custom whitening trays.
- The patient was given professional-strength whitening gel with full instructions.
- Over the whitening period, his teeth gradually became noticeably whiter and brighter.
The Result
"The patient was extremely happy with the improvement in the shade of his teeth. The whitening successfully lifted his smile to a brighter, more confident appearance."
Restoring Confidence with Porcelain Veneers


*Actual patient results. Individual results may vary.
Patient Concern
The patient first came to us in 2015, feeling desperate about her smile. She had chipped her front teeth many years earlier and had composite bonding placed multiple times. Unfortunately, the bonding frequently fractured or detached, leaving her feeling self-conscious. The compromised aesthetics affected her daily life to the point where she stopped smiling altogether.
Assessment & Diagnosis
During the consultation, we explored various treatment options to provide her with a stable, aesthetic, and long-term solution. Given her history of repeated bonding failures and her desire for a natural, confident smile, porcelain veneers were recommended.
Treatment Plan
- Tooth preparation: Very gentle, conservative shaping.
- Temporary veneers: Custom temporaries were fitted to protect the teeth and allow the patient to preview the new smile.
- Final veneers: Once crafted by the laboratory, the porcelain veneers were fitted and bonded securely into place.
The Result
"The transformation was immediate. The patient was over the moon with her new smile and regained her confidence instantly. Today—11 years later—she continues to be extremely happy with her veneers, which remain stable, aesthetic, and natural-looking."
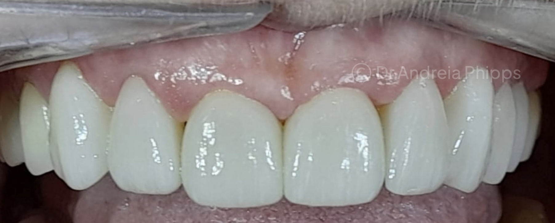
Full Smile Transformation with 20 Veneers


*Actual patient results. Individual results may vary.
Patient Concern
The patient came to us unhappy with the overall appearance of her teeth. She described her smile as “always looking dirty and not aligned.” Her concerns included gaps, failed bonding, worn fillings, darker shades, and poor overall aesthetics.
Assessment & Diagnosis
After a comprehensive assessment, we reviewed several cosmetic treatment options. Considering the patient’s goals and the condition of her existing restorations, we agreed on a full smile makeover using 10 porcelain veneers on the upper teeth and 10 porcelain veneers on the lower teeth.
Treatment Plan
- Smile Design & Planning: Digital planning and shade selection were carried out to design her ideal outcome.
- Minimally Invasive Tooth Preparation: Conservative preparation while preserving natural structure.
- Temporary Veneers: Fitted to preview the final cosmetic outcome.
- Final Porcelain Veneers: Individually bonded for maximum strength and longevity.
The Result
"The transformation was dramatic. Her new smile is whiter, symmetrical, fully aligned, gap-free, and natural yet beautifully enhanced. The patient was extremely happy with the result and expressed how grateful she was."
Life-Changing Transformation: Whitening & Veneers


*Actual patient results. Individual results may vary.
Patient Concern
A young woman in her 20s came to us requesting to “fix her awful teeth.” From the moment she sat down, it was clear that her smile was impacting her confidence. She explained that her previous dentist had attempted to improve the appearance of her teeth with fillings, but the results were never satisfying.
Assessment & Diagnosis
To achieve a natural and long-lasting improvement, we agreed on a two-phase approach: Professional Whitening to brighten her overall tooth shade, followed by Six Porcelain Veneers from upper canine to canine to improve shape, alignment, symmetry, and overall aesthetics.
Treatment Plan
- Whitening: We began with professional home whitening to uplift the overall colour of her teeth.
- Porcelain Veneers (Upper Canine to Canine): Detailed smile design, minimally invasive prep, temporary veneers, and final bonding.
The Result
"The final transformation was exceptional. When the veneers were fitted, the patient became emotional once again—this time with tears of joy. A few weeks later, her confidence had fully returned. Her smile, posture and overall presence were transformed."
Whitening and Aesthetic Restorations


*Actual patient results. Individual results may vary.
Patient Concern
A woman in her 40s attended the practice unhappy with the overall colour of her teeth. She was also concerned about black marks on her upper incisors, which affected the appearance of her smile.
Assessment & Diagnosis
After a thorough examination, we discussed various cosmetic options. To achieve the most natural and conservative result, we agreed on Professional Whitening followed by Minimally Invasive Composite Restorations to remove the black marks.
Treatment Plan
- Whitening: The patient completed a course of professional home whitening, achieving a significant lift in brightness.
- Removal of Black Marks & Composite Fillings: Black marks were carefully removed and high-quality composite material was used to shape and polish the teeth.
The Result
"The final result was bright, clean, and beautifully natural. The combination of whitening and precise cosmetic fillings transformed her smile without the need for aggressive treatments."
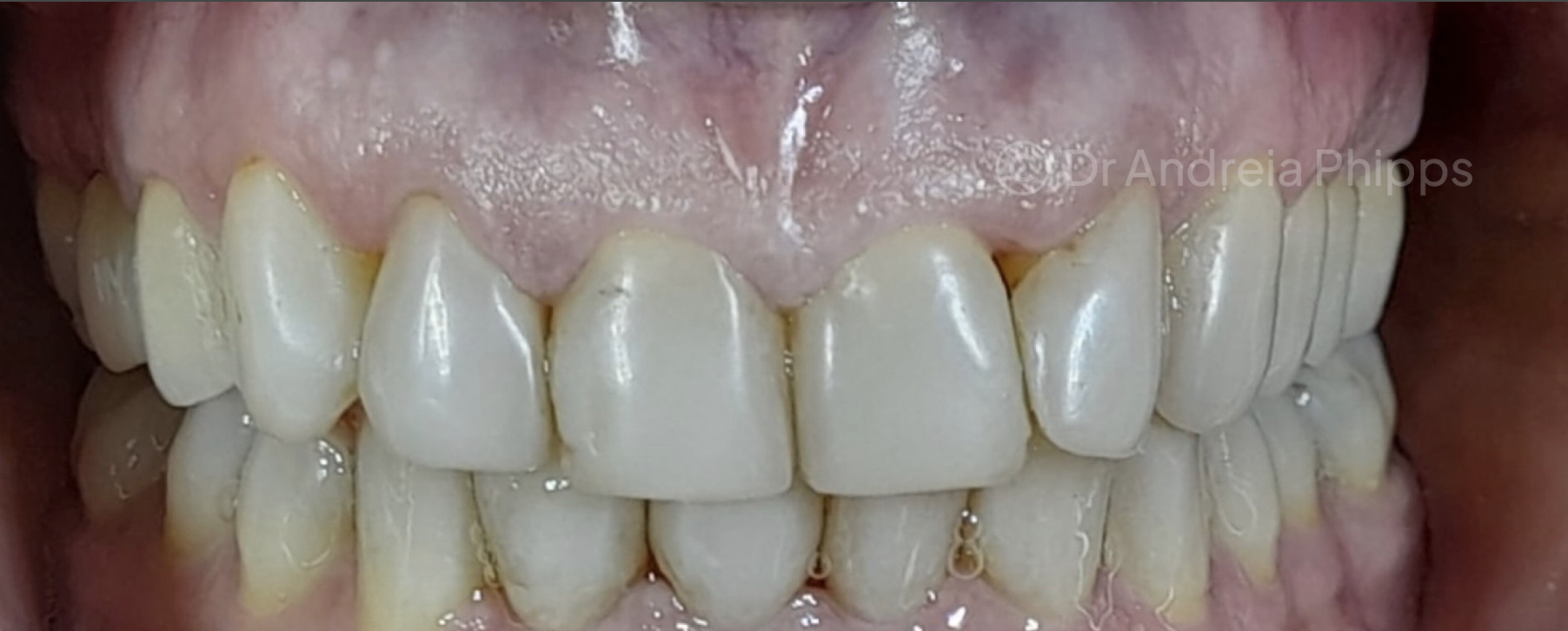
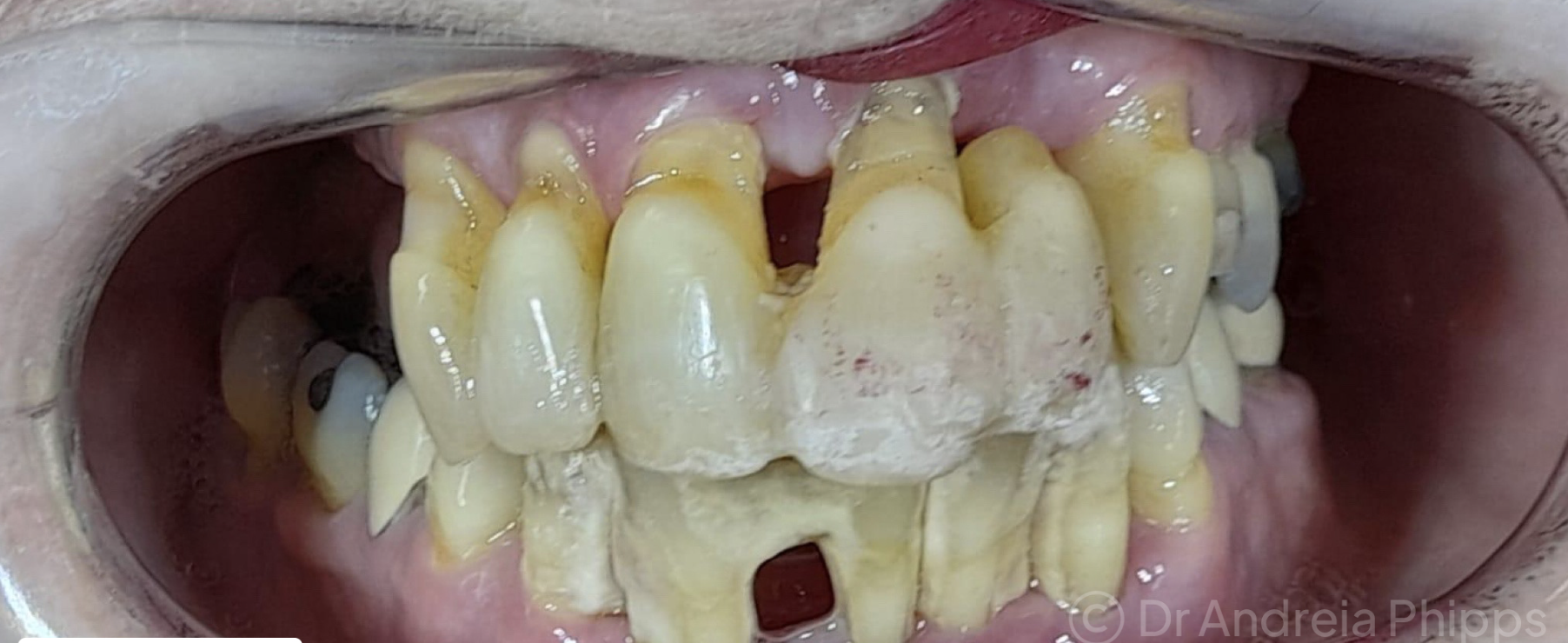
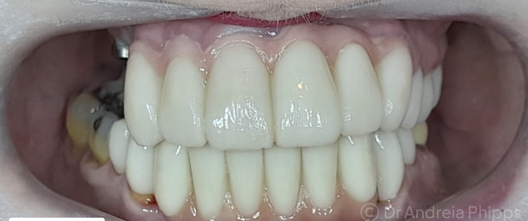
Full Smile Rejuvenation: Veneers & Crowns


*Actual patient results. Individual results may vary.
Patient Concern
A female patient in her late 50s attended the practice unhappy with the appearance of her existing veneers and crowns, which had been placed over 20 years ago. Her concerns included chipping, wear, discolouration, decay beneath old work, and a smile that appeared too masculine.
Assessment & Diagnosis
We agreed on a comprehensive smile makeover involving 12 upper teeth and 12 lower teeth—a personalised combination of new porcelain veneers and crowns. She desired a softer, more feminine, and naturally balanced smile.
Treatment Plan
- Smile Design & Preparation: Planned based on her preferences and treated areas of decay.
- Temporary Veneers and Crowns: Placed to protect teeth and assess symmetry.
- Final Fitting: Two weeks later, the final porcelain veneers and crowns were precisely bonded into place.
The Result
"The final smile was elegant, feminine, and beautifully rejuvenated. The patient was overwhelmed with joy—she explained that she had always wanted a smile like this and finally felt confident and aligned with her appearance."
Ready to start your own transformation?
Book a consultation with Dr. Yasha today and let us design your dream smile.
Book My AppointmentRegistered & Regulated
Our team are fully registered and regulated for practice in the United Kingdom. Our patients should expect nothing less.
Meet The Experts
Our hand-picked team of clinicians is dedicated to the art and science of your smile.









