Dr. Reza Davari
Dentist with Special Interest in Prosthodontics
London Gold Medal
Book Davari

About Davari
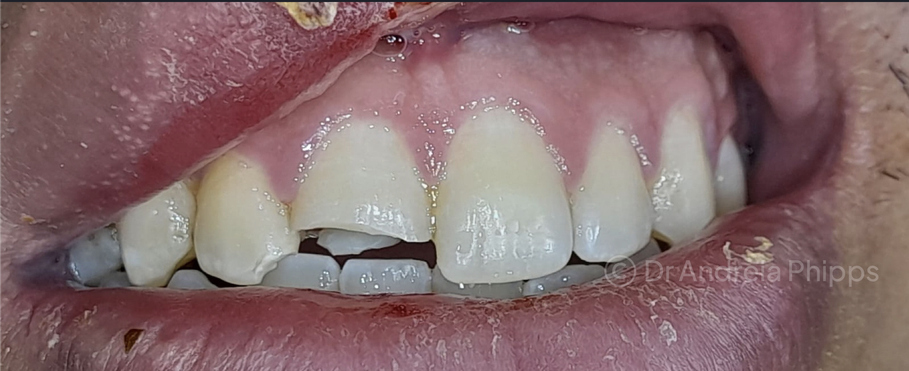
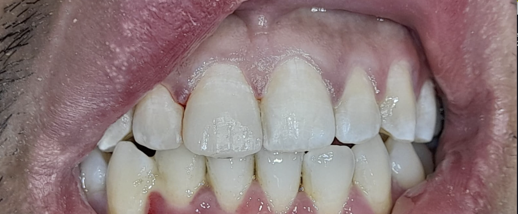
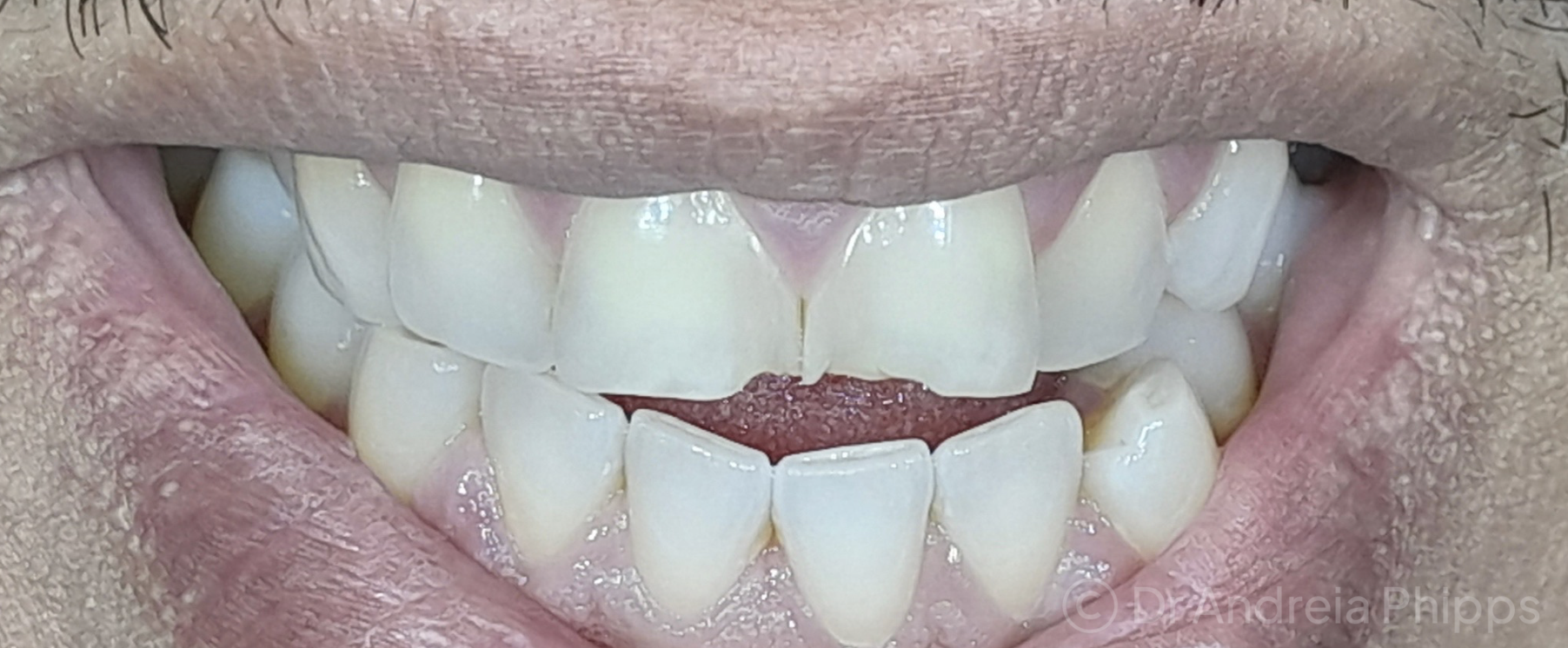
Dr. Reza is a caring and dedicated dentist with a special interest in prosthodontics. Having worked in both hospital and practice settings, he has developed a broad range of experience that helps him provide exceptional, well-rounded care.
Awarded the London Gold Medal for outstanding achievement, Reza combines advanced clinical skill, attention to detail, and a calm, gentle manner that helps patients feel at ease. He always puts his patients' needs first and takes pride in delivering comfortable, personalised, and long-lasting results.
Treatments Offered
Registered & Regulated
Our team are fully registered and regulated for practice in the United Kingdom. Our patients should expect nothing less.


Ready to Book with Davari?
Experience exceptional dental care with Dr. Reza Davari. Call us today or book your appointment online.



